Anatomical Surgical Aid Prosthesis

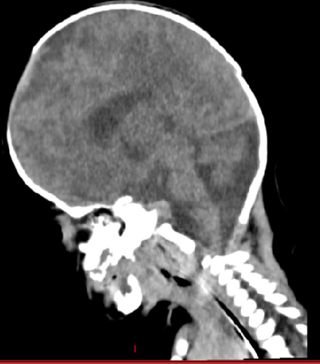
# Advanced 3D Modeling and Printing for Neonatal Apert Syndrome I led and supervised a dedicated team in reconstructing a highly precise neonatal cranium model for a patient affected by Apert syndrome, leveraging advanced HRCT data and parametric modeling techniques. Through meticulous analysis and collaborative innovation, we converted complex imaging data into a detailed 3D model that accurately represented the unique cranial anatomy of the patient. The model was then expertly 3D printed, serving as a critical surgical aid to enhance preoperative planning and precision during the procedure. This achievement underscores the transformative potential of integrating medical imaging with cutting-edge modeling and printing technologies to address complex craniofacial conditions, setting a benchmark for future interdisciplinary collaborations. For example, the detailed 3D representation allowed surgeons to simulate surgical approaches, reducing risks and ensuring better outcomes for the patient.
3d-printing concept-design skull anatomy biomedical-engineering 3d-modeling-design prosthesis health-care medical-imaging